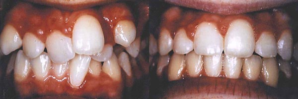
About Orthodontics | Life with Braces | Brushing and Flossing | For All Ages | Early Prevention | Palatal Expander | Emergency Care | Before and After | Smile Gallery Before and After Treatment Photos